Bem-vindo(a). Hoje é Guarantã do Norte - MT

Adolescente com fortes "cólicas" tinha 21 ímãs no estômago e intestinos

Adolescente com fortes "cólicas" tinha 21 ímãs no estômago e intestinos
Compartilhe!

Um adolescente de 13 anos deu entrada nas urgências de um hospital nos Estados Unidos com fortes dores abdominais. Após uma série de exames, os médicos descobriram que ele tinha 21 ímãs no estômago e intestinos.

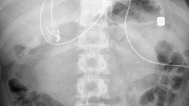
De acordo com o site BMJ Case Reports, o paciente tinha “múltiplos corpos estranhos metálicos” no estômago e cólon, com diâmetros de cerca de 8 milímetros.

Para ser submetido a mais exames, o jovem foi transportado para outro hospital, onde novas radiografias confirmaram que se tratava de ímãs de neodímio.

A ingestão dos objetos magnéticos criou uma úlcera gástrica “muito dolorosa” ao adolescente, assim como uma perfuração do intestino. A perfuração poderia ter sido ainda mais grave e até mesmo levar à morte do jovem.

Apesar do susto, os ímãs já foram retirados e o paciente está se recuperando. O mais estranho é que ele não tinha “nenhuma lembrança de os ter ingerido”.

A família do adolescente acredita que a ingestão dos ímãs pode ter acontecido durante um episódio de sonambulismo. De acordo com o BMJ Case Reports, “apesar de engolir objetos estranhos durante o sono ser muito incomum, ter um distúrbio alimentar que se manifesta durante o sono é, pelo contrário, muito comum”. Um estudo divulgado recentemente mostrou que 1 em cada 20 pessoas pode “engolir rapidamente” uma refeição ou lanche enquanto dorme.

Outra hipótese é que o jovem sofra de algum quadro psiquiátrico. Na verdade, existem vários transtornos mentais que levam à ingestão intencional de objetos, como se fossem alimentos.

Os médicos recomendaram que o adolescente seja acompanhado por um psiquiatra para descartar qualquer problema mental.

Recomendações de segurança

Os ímãs de neodímio são pequenos e poderosos, e podem ser perigosos se engolidos. Por isso, é importante manter esses objetos fora do alcance de crianças e animais de estimação.

Se você suspeitar que seu filho ou animal de estimação engoliu um ímã, procure atendimento médico imediatamente.

Leia Também: Brasileira denuncia ataque de xenofobia em Portugal: Vá para a sua terra

Notícias ao Minuto Brasil – Mundo
Read More