Testículo de homem é deslocado para o abdômen após acidente de moto
Um homem italiano de 30 anos sofreu um acidente de moto que resultou na luxação de um de seus testículos para o abdômen. O caso, considerado raríssimo, foi relatado em um artigo publicado no jornal BMJ Case Reports.
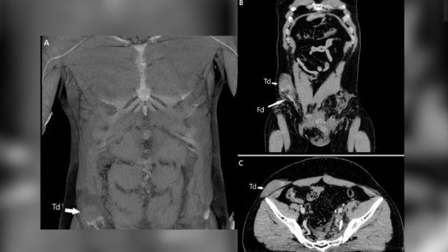
De acordo com o relatório médico, o homem sofreu um impacto violento na virilha durante o acidente. O impacto empurrou o testículo direito do homem para fora do escroto, através do canal inguinal, uma pequena passagem que leva os testículos do abdômen para a bolsa escrotal.
Embora os testículos possam ser deslocados para fora do escroto após um trauma, é raro que eles cheguem até ao abdômen. Estima-se que apenas cerca de 6% dos casos de luxação testicular envolvam o deslocamento do testículo para o abdômen.
Para reposicionar o testículo, os médicos tiveram de remover o excesso de sangue que se concentrou na virilha após o acidente e ainda aquecê-lo, uma vez que ele estava privado de oxigênio. Depois de o testículo recuperar sua cor normal, os médicos o reposicionaram cirurgicamente através de uma operação chamada orquidopexia.
Os autores do relatório alertam que, na maioria dos casos, é difícil para os médicos diagnosticar uma luxação testicular, uma vez que ela só ocorre em associação a ferimentos graves. Tais atrasos podem ter consequências graves para os pacientes, como danos na fertilidade e na produção hormonal.
No caso agora reportado, os médicos demoraram um pouco para diagnosticar a luxação. O homem chegou às urgências com um grande hematoma no escroto, por isso os profissionais de saúde não conseguiram fazer logo o exame. Primeiro, eles tentaram controlar as hemorragias que poderiam levar à morte do homem, cuidaram das fraturas extensas que ele sofreu e tentaram perceber se algum órgão vital, como a bexiga, havia sido afetado.
Só depois de uma tomografia computadorizada (TC) é que os médicos se aperceberam que o testículo tinha sofrido uma grande deslocação.
Após a cirurgia, o homem se recuperou bem e, seis meses depois do acidente, o testículo estava completamente normal. Não apresentava sinais de danos duradouros, pelo menos nas suas funções mais importantes, como a produção de hormônios e de espermatozoides.
Leia Também: Noiva enfrenta manifestantes pró-Palestina e vai a pé para o casamento
Notícias ao Minuto Brasil – Mundo
Read More


