Bem-vindo(a). Hoje é Guarantã do Norte - MT

O avanço do Alzheimer no cérebro. Cientistas descobrem as causas

O avanço do Alzheimer no cérebro. Cientistas descobrem as causas
Compartilhe!

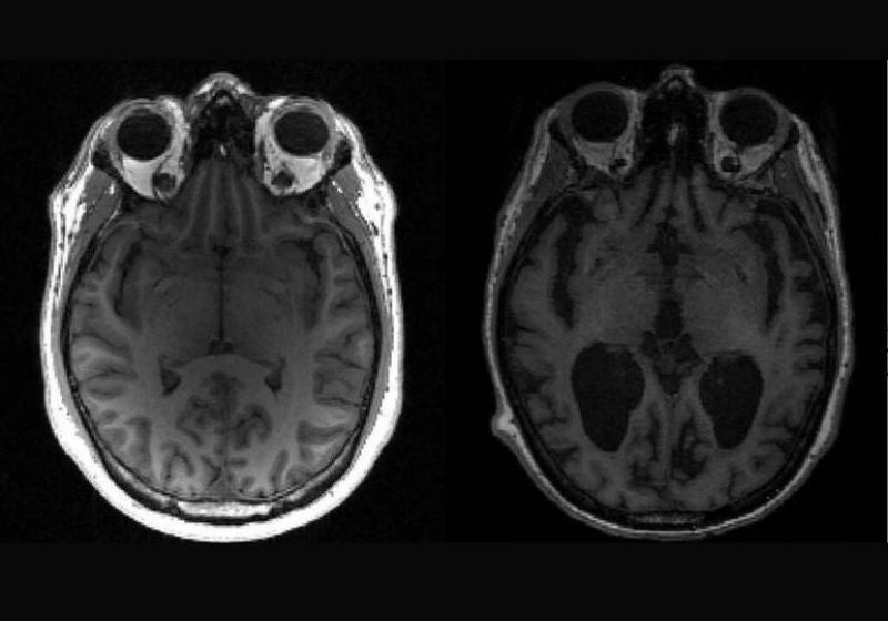
Os cientistas descobriram as causas do avanços do Alzheimer no cérebro humano - Foto: University of Cambridge/AFP

Cientistas descobrem os motivos do avanço do Alzheimer no cérebro e pretendem encontrar formas de retardar a evolução da doença com novos tratamentos.

A novidade foi Publicada na revista Science Advances. Pela primeira vez, o estudo foi feito com dados humanos. Pesquisadores estudaram cadáveres de pacientes com a doença e de pessoas que convivem com o mal desde o grau leve até o mais grave.

Eles relataram que proteínas tóxicas se agrupam e chegam a diferentes regiões do cérebro precocemente. Lá, elas se acumulam ao longo de décadas.

A nova teoria

A pesquisa alterou a teoria de que aglomerados se formavam apenas em um local específico do cérebro (padrão visto em ratos) e depois, se espalhavam por todo cérebro, da mesma forma que um câncer espalha.

O novo estudo aponta que, embora essa disseminação possa ocorrer, ela não é de fato o principal fator para a progressão da doença.

Proteínas tóxicas

O objetivo era rastrear a proteína tau, uma das duas proteínas-chave que implicam na condição. Ela é culpada por vários tipos de demência.

Na doença de Alzheimer, a tau e outra proteína chamada beta-amiloide se acumulam em agregados e fazem com que as células cerebrais morram e o cérebro encolha. 

É esse processo que resulta em perda de memória, alterações de personalidade e dificuldade para realizar as tarefas cotidianas. 

Atrasar a doença

De acordo com o químico da Universidade de Cambridge e responsável pelo estudo, Georg Meisl, o estudo conseguiu determinar que os agregados levam cerca de cinco anos para dobrar de quantidade.

“Talvez se pudermos melhorá-lo um pouco, possamos atrasar significativamente o início de uma doença grave. Esperamos que este e outros estudos semelhantes ajudem a desenvolver tratamentos futuros que tenham como alvo a tau”.

Com informações de Estadão

O post O avanço do Alzheimer no cérebro. Cientistas descobrem as causas apareceu primeiro em Só Notícia Boa.

Saúde – Só Notícia Boa
Read More