Tumor no pulmão de idosa reduz 76% após uso de canabidiol

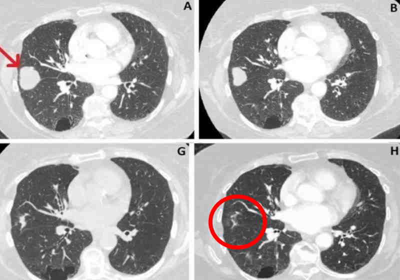
Após receber tratamento com canabidiol (CBD), o tumor no pulmão direito de uma idosa de 80 anos do Reino Unido reduziu 76%.
O tratamento foi realizado ao longo de quase três anos e agora publicado no periódico científico BMJ Case Reports.
O câncer foi descoberto em junho de 2018, com 41 mm. Em março deste ano o tamanho era de 10mm.
Tratamento Alternativo
Por receio dos efeitos dos tratamentos convencionais (quimioterapia, radioterapia e cirurgia), ela optou por um alternativo, com menos riscos.
A idosa foi tratada com medicamentos para doença pulmonar obstrutiva crônica leve (DPOC), osteoartrite, hipertensão e 0,5 ml de canabidiol de duas a três vezes por dia.
O canabidiol, componente não psicoativo encontrado na cannabis, já tinha sua importância para aliviar sintomas colaterais do tratamento do câncer.
Entre eles, dores, náuseas, ansiedade e perda de apetite.
Estudos
Em 2014, os EUA estudaram o uso da maconha no combate ao câncer cerebral agressivo, com resultados promissores.
A eficácia da substância para matar células cancerígenas enquanto protege as normais, bloqueando o desenvolvimento dos vasos sanguíneos necessários para o avanço dos tumores, foi divulgado pelo Instituto Nacional do Câncer, ligado ao Departamento de Saúde dos EUA.
Com informaçõe do Catraca Livre
O post Tumor no pulmão de idosa reduz 76% após uso de canabidiol apareceu primeiro em Só Notícia Boa.
Saúde – Só Notícia Boa
Read More


